Inicio  Los Autores
 Introducción

Enfermedades Tropicales:

I Leishmaniasis
II Paracoccidioidomicosis
III Blastomicosis
IV Cromoblastomicosis
V Lepra
VI Esporotricosis
VII Histoplasmosis
VIII Rinosporidiosis
IX Micetomas
X Rinoescleroma
XI Enfermedad de Chagas
XII Actinomicosis
XIII Mucomicosis
XIV Amebiasis
XV Prototecosis
XVI Lobomicosis
XVII Feohifomicosis
XVIII Prurigo actínico
XIX Mordedura de Culebra
XX Coccidioidomicosis

 Listado de Casos

 Bibliografía
 Contacto

VII. Histoplasmosis

Caso 47. Histoplasmosis / Carcinoma

Ver Indice de Figuras

Fig. 47-A2

Anterior

Fig. 47-A2
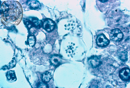
Fig. 47-A2: Histoplasmosis

Las pequeñas células del H. caps. var. caps. están en el tejido en forma levaduriforme y de 2-4 µ de tamaño. Aquí se encuentran en un aumento mayor y en la coloración de rutina a veces en acúmulos y situados intracelularmente. La otra variedad del género Histoplasma capsulatum, el H. caps. var. duboisii, en el tejido es un hongo levaduriforme grande que puede alcanzar más de 15 µ La infección autóctona con el histoplasma grande ocurre solamente en el África ecuatorial. Se adquiere aparentemente, también por inhalación. La piel y el sistema óseo son los tejidos principalmente interesados. El aspecto histológico de estos hongos se ilustra en la descripción del caso 50.

Siguiente


| español | english | deutsch |


Facultad de Medicina
Universidad de Los Andes
Merida - Venezuela